Knee Surgery / Revision Knee Replacement
Revision Knee Replacement Surgeon in Bangalore
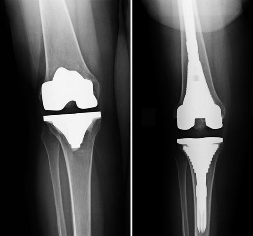
Revision knee replacement surgery involves replacing part or all of your previous knee prosthesis with a new prosthesis. Although total knee replacement surgery is successful, sometimes the procedure can fail due to various reasons and require a second revision surgery.
The knee joints are lined by soft articular cartilage that cushion the joints and aid in smooth movement of the joint bones. Degeneration of the cartilage due to wear and tear leads to arthritis, which is characterized by severe pain.
During total knee replacement, the damaged cartilage and bone is removed from the knee joint and replaced with artificial components. Artificial knee joints are usually made of metal, ceramic or plastic and consist of the femoral component and the tibial component.




